Goldimplantation bei Tieren

Therapieoptionen, Ablauf und wissenschaftlicher Hintergrund

Die Goldimplantation ist eine alternativmedizinische Therapieform, die sowohl in der Veterinärmedizin als auch in der Humanmedizin Anwendung findet. Sie wird vor allem zur Behandlung chronischer Schmerzen und orthopädischer Erkrankungen bei Hunden, Katzen und Pferden eingesetzt. Das Verfahren basiert auf der dauerhaften Implantation kleiner Goldstücke in das Gewebe rund um erkrankte Gelenke.

Wie funktioniert die Goldimplantation?

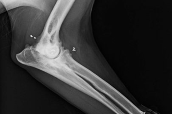
Bei der Goldimplantation werden sterile Goldstücke (24 Karat, 1-3 mm lang und 1 mm stark)) unter Inhalationsnarkose in die Nähe von Gelenken oder Schmerzpunkten injiziert. Ziel ist es, eine dauerhafte Schmerzlinderung zu erreichen, indem die Goldimplantate eine lokale Entzündungshemmung und eine Veränderung der Schmerzleitung bewirken. Hauptanliegen hierbei ist es, im Rahmen einer ganzheitlichen Versorgung des Tieres nicht einzelne Gelenke, sondern den Körper als Einheit in seiner Bewegung effizient und nachhaltig zu therapieren und Schmerzen zu lindern. Die Goldimplantate wandern nicht und stellen auch kein Hindernis für spätere Behandlungen jeglicher Art dar (Ausnahme: niederfrequente Stromformen). Es findet kein Dauerreiz statt – also handelt es sich um keine Dauerakupunktur

Indikationen für die Goldimplantation

• Arthrose und degenerative Gelenkerkrankungen

• Hüftgelenksdysplasie

• Ellbogendysplasie

• Chronische Rückenschmerzen

• Schmerzhafte Veränderungen anderer Gelenke

Die Methode wird vor allem bei Tieren angewendet, die auf klassische Schmerztherapien schlecht ansprechen oder bei denen Nebenwirkungen vermieden werden sollen.

Wirkungsweise und wissenschaftlicher Hintergrund

Die genaue Wirkungsweise der Goldimplantation ist noch nicht vollständig geklärt. Es wird vermutet,
dass Gold durch Ionenfluss und ph-Wertverschiebungen im Gewebe eine entzündungshemmende
Wirkung auf das umliegende Gewebe ausübt und die Weiterleitung von Schmerzimpulsen
unterbricht. Studien und Erfahrungsberichte zeigen bei einem Teil der behandelten Tiere eine
deutliche Verbesserung der Lebensqualität und eine Reduktion der Schmerzsymptomatik.

Fazit

Die Goldimplantation stellt eine interessante und in vielen Fällen hilfreiche Möglichkeit zur
Behandlung chronischer Schmerzen bei Tieren dar. Insbesondere für Patienten, die auf konventionelle
Therapien nicht ausreichend ansprechen, kann sie eine Verbesserung der Lebensqualität bieten.
Dennoch sollte die Entscheidung für eine Goldimplantation immer individuell und nach umfassender
Beratung durch einen erfahrenen Tierarzt getroffen werden.

Termin
vereinbaren
Zur
Kontaktseite
WordPress Cookie Plugin von Real Cookie Banner